Причины появления
Все причины, провоцирующие изменение цвета эмали, стоматологи делят на две обширные группы: экзогенные (внешние) и эндогенные (внутренние).
Экзогенные факторы воздействуют на зуб снаружи. Их источник — окружающая среда, питание и привычки человека. Вот основные внешние причины появления пятен на зубах у взрослых:
- Пищевые красители. Чаще всего это кофе, чёрный чай, красное вино, яркие газированные напитки, ягоды, соевый соус, кетчуп и свекла. Чем интенсивнее и регулярнее потребление такой пищи, тем быстрее формируется стойкий темный налёт.
- Табакокурение. Смолы, никотин и другие продукты горения, содержащиеся в табачном дыме, создают на поверхности зубов плотный налёт, который быстро темнеет, вызывая стойкое желто-коричневое окрашивание.
- Зубной налёт и камень. Недостаточная или нерегулярная гигиена полости рта приводит к скоплению мягкого микробного налёта, который со временем минерализуется и превращается в твёрдый зубной камень жёлтого или коричневого оттенка.
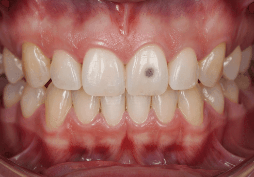
- Травмы. Сильный удар по зубу может привести к разрыву сосудисто-нервного пучка (пульпы), расположенного внутри зуба. Зуб постепенно темнеет, приобретая серый или почти чёрный оттенок.
- Стоматологические материалы. Некоторые составы, которые раньше использовали для пломбирования, могут придавать тканям зуба специфический цвет.
Эндогенные факторы связаны с внутренними процессами в организме:
- Флюороз. Это хроническое заболевание, вызванное чрезмерным поступлением в организм фтора. Проявляется в виде меловидных, жёлтых или темно-коричневых пятен и полос.
- Приём лекарств. Чаще всего это антибиотики тетрациклинового ряда, принятые в период формирования зубных тканей. Они окрашивают поверхность зубов в жёлто-серый или коричневый цвет.
- Системные заболевания и наследственность. Некоторые редкие болезни могут проявляться в виде дисколорита. Например, муковисцидоз у детей часто сопровождается появлением пятен на молочных зубах.
- Возрастные изменения. С течением времени эмаль истончается, что приводит к общему пожелтению или потемнению зубного ряда.

Диагностика
Успешное лечение дисколорита напрямую зависит от точности поставленного диагноза. Современная стоматология использует целый арсенал диагностических методов:
- Рентген. Прицельный или панорамный снимок помогает оценить состояние внутренних структур зуба, корней и окружающих его тканей, что особенно важно после травм.
- Компьютерная томография. Дает трёхмерное изображение высокой чёткости, позволяя детально изучить сложные случаи.
- Электроодонтометрия. Метод, при котором через пульпу пропускают слабый электрический ток. По силе реакции оценивают жизнеспособность зубного нерва.
- Осмотр под дентальным микроскопом. Обеспечивает многократное увеличение (в 25 и более раз), позволяя стоматологу рассмотреть мельчайшие детали, недоступные невооружённому глазу.
Отдельная ситуация — появление пятен после отбеливания или снятия брекет-систем. Если профессиональное отбеливание проведено корректно, неравномерный цвет быстро выравнивается. Стойкие пятна часто появляются в результате домашних экспериментов с агрессивными средствами. После снятия брекетов пятна под замками свидетельствуют о недостаточной гигиене во время лечения.

Лечение пятен на зубах
Выбор метода лечения зависит от окончательного диагноза. Есть несколько самых эффективных способов:
- Профессиональная гигиена полости рта. С помощью ультразвука врач удаляет твёрдый зубной камень, а аппаратом Air Flow — мягкий пигментированный налёт и поверхностные пятна от кофе, чая, сигарет.
- Отбеливание. Бывает внешним и внутриканальным. В первом случае гель-осветлитель наносят на видимую поверхность эмали и усиливают его действие излучением. Во втором — осветляющий состав вводится непосредственно в полость зуба через предварительно раскрытый корневой канал.
- Микроабразия эмали. Щадящая методика для устранения поверхностных дефектов, в частности, меловидных пятен и слабовыраженного флюороза. Заключается в сошлифовывании тончайшего слоя эмали специальной абразивной пастой.
- Реминерализирующая терапия. Зубы покрываются лаками, гелями или растворами, содержащими большое количество кальция, фосфора и фтора. Это укрепляет эмаль, закрывает микропоры и снижает чувствительность.
- Микропротезирование винирами/люминирами. Тонкие керамические накладки, изготовленные в лаборатории, фиксируются на переднюю поверхность зубов, полностью маскируя любые недостатки.
- Установка коронок. Применяется в случаях сильного разрушения зуба, когда восстановление другими методами невозможно.

Профилактика
Предупредить появление пятен на эмали зубов гораздо проще, чем бороться с ними. Ключевые меры профилактики включают:
- Ограничение употребления красящих продуктов и напитков.
- Отказ от курения.
- Безупречную гигиену полости рта. Важно чистить зубы дважды в день правильно подобранной щёткой и пастой, использовать зубную нить и ирригатор для очищения межзубных промежутков.
- Регулярное посещение стоматолога (не реже двух раз в год).
- Консультация врача перед приёмом любых сильнодействующих лекарств.





