Единая справочная в Москве

Самый современный и целесообразный метод восстановления зубного ряда – это протезирование на имплантах, которые выполняют функцию корня. Способ имеет множество преимуществ. Не приходится обтачивать соседние коронки и создавать риск их ускоренного разрушения. Приостанавливаются процессы рассасывания челюсти на участке отсутствующего зуба. На этом месте появляется искусственный корень, который принимает на себя жевательную нагрузку. Кроме того, протезирование зубов на имплантах дает возможность максимально увеличить срок службы ортопедической конструкции.
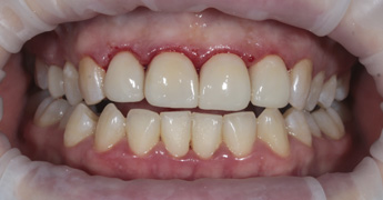
Одно из самых популярных изделий реставрационной стоматологии – это металлокерамическая коронка на зуб. Это востребованный в Москве вариант протезирования, применяемый при утрате одной или нескольких единиц зубного ряда. Для многих пациентов именно он становится самым удачным выбором, если исходить из соотношения цены, надежности и долговечности. В структуру такого протеза входят две составные части. Внутренний слой представляет собой литой каркас, изготовленный из сплава металлов. Снаружи он покрывается керамической массой, для придания зубу требуемых эстетических свойств.
В отличие от металлокерамических протезов, коронка из циркония не имеет темного каркаса. Поэтому ее эстетические свойства заметно выше. Вместо несущего слоя металла в протезной конструкции используется материал с особыми характеристиками – диоксид циркония (ZrO2). По своим визуальным свойствам он максимально соответствует твердым тканям натуральных зубов. Имеет столь же естественный белый цвет и легкую прозрачность. Это химическое соединение обогащается алюминием и частично стабилизируется иттрием, что значительно повышает устойчивость протезных конструкций к деформациям.
Надежные и прочные бюгельные зубные протезы считаются самым эффективным способом лечения частичной адентии (отсутствия зубов). Основу этих конструкций составляет металлическая литая дуга. В переводе на немецкий это слово звучит как «бюгель», что и дало название съемной ортопедической системе такого типа. Если вас интересуют именно зубные протезы бюгельные, цены и фото с их изображением вы найдете на этой странице сайта. Обратите внимание, что такие ортопедические изделия лишены массивных перемычек, которые имеются в структуре частичных пластинчатых протезов.

Без слепков и дискомфорта

Без скрытых доплат
Риск оголения корней, повышенной истираемости идеформации соседних единиц из-за увеличения нагрузки | Риск развития пародонтоза из-за расхождения резцов и моляров, стремящихся занять пустующее место | Провисают мышцы лица с той его стороны, где не хватает одного или нескольких зубов |
Серьезно нарушается эстетика улыбки, если отсутствуют резцы или клыки | Возрастает нагрузка на пищеварительную систему, так как жевательная функция нарушается | Для устранения этих проблем стоматологи применяют различные разновидности протезов |











Существует два основных вида протезирования: несъёмное и съёмное.
В первом случае протезирование может производиться как с опорой на свои зубы (мост, коронка), так и с опорой на имплант. Коронки при этом могут быть выполнены из циркония, из металлокерамики и других материалов.
Второй вариант назначают при полном или частичном отсутствии зубов. Решением могут стать, например, бюгельные протезы, которые устанавливаются на металлическую дугу.
Стоимость протезирования зависит сразу от нескольких факторов: каким будет протез – с опорой на свои зубы или имплант, из какого материала сделана коронка, насколько качественная система используется. Также большое значение имеет эстетика протеза, расположение зуба, на который надевается коронка. А ещё важную роль играет квалификация врача — в «Кариесу.нет» работают стоматологи-ортопеды с опытом более 10 лет.
В этом случае можно порекомендовать либо полное протезирование на имплантах, которое проводится под общей анестезией, либо съёмные протезы (например, такой протез, у которого основа имитирует десну и на неё устанавливаются искусственные зубы). Несъёмные протезы могут появиться у пациента уже через 3-5 дней.
Съёмные протезы служат не менее 5-7 лет. Импланты могут служить пожизненно, но только в случае правильной гигиены и регулярного осмотра у специалиста.
Услуга | Стоимость |
|---|---|
Частичный съемный протез | 24 900 ₽ |
Протез съемный | 36 900 ₽ |
Нейлоновый съемный протез | 39 800 ₽ |
Съемный протез Acry-free | 46 900 ₽ |
Бюгельный протез | 69 900 ₽ |
Коронка металлокерамическая | 16 900 ₽ |
Коронка циркониевая | 23 700 ₽ |
Коронка керамическая E-Max | 27 900 ₽ |
Виниры керамические E-Max | 29 900 ₽ |
Консультация стоматолога-ортопеда | Бесплатно |
Сканирование полости рта интраоральным сканером | 3 290 ₽ |
Стандартный абатмент | 6 000 ₽ |
Индивидуальный титановый абатмент | 15 000 ₽ |
Коронка на имплант с цементной фиксацией на абатмент | 18 900 ₽ |
Коронка на имплант с винтовой фиксацией | 33 100 ₽ |
Протез на импланты на аттачментах | 79 000 ₽ |
Показать ещё | |