Единая справочная в Москве

| Пн | Пр. Шокальского, 20 | 09:00 - 15:00 |
| Вт | Пр. Шокальского, 20 | 09:00 - 21:00 |
| Ср | Пр. Шокальского, 20 | 09:00 - 15:00 |
| Сб | Пр. Шокальского, 20 | 10:00 - 20:00 |
| Вс | Пр. Шокальского, 20 | 10:00 - 20:00 |
Профессиональные навыки:
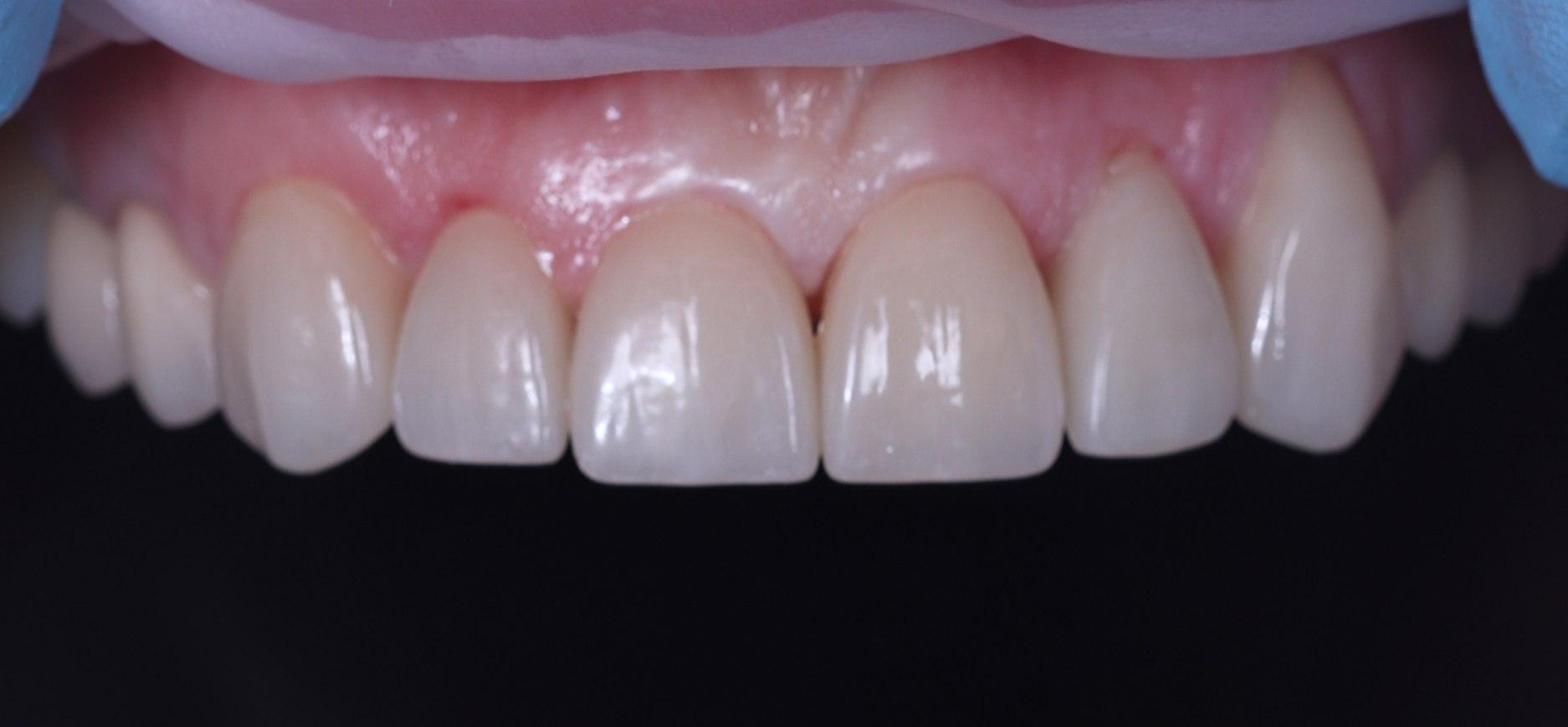
Совмещение двух специализаций позволяет Валерию Анатольевичу предлагать пациентам комплексные решения — от коррекции прикуса до восстановления утраченных зубов с учетом функциональности и эстетики. Его подход исключает фрагментарное лечение и обеспечивает предсказуемый долговечный результат. Доброжелательное отношение, внимательность к потребностям пациентов и многолетний опыт делают Валерия Анатольевича врачом, которому доверяют целые семьи. Его пациенты ценят не только безупречный результат, но и комфортный процесс лечения, основанный на ясном плане и современных методиках.
2019 Курс дентальной фотографии | 2014 Лингвальная технология Stb - эстетика без компромиссов | 2013 Эстетика или функция при протезировании в переднем отделе |
2013 Семинар по лингвальной техники IN-OVATION L | 2013 Мастера керамики. Эстетика и функция при протезировании зубов | 2013 Ортодонтия 21 Века с индивидуальной брекет-системой Insignia |
2013 Общий курс по современной диагностике и лечению ортодонтических пациентов | 2012 Clinical aspects of implant treatment plans in the complex prosthodontic treatment | 2012 Tooth preparations for prosthetic restorations |
2011 Базовый курс по имплантации | 2011 Реабилитация пациентов высоэстетичными несъемными ортопедическими конструкицями | 2009 XII Съезд ортодонтов России |
2005 Новые горизонты в ортодонтии и дентальной стоматологии | 2004 Физиологические и клинические аспекты лечения технологией "ультраслабых сил" | 2003 Мезиальная окклюзия |