Особенности этой патологии
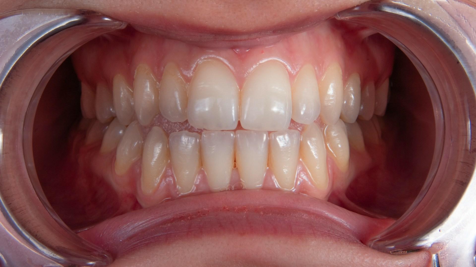
Признаки глубокого прикуса:
- верхние резцы при соединении челюстей закрывают нижние более чем на одну треть высоты;
- контакт между фронтальными единицами ощущается только у их основания либо полностью отсутствует;
- истирание эмали резцов и клыков происходит быстрее, чем при физиологической норме;
- лицо приобретает скошенный профиль, подбородок становится непропорционально маленьким;
- у пациента гингивальный тип улыбки, то есть обнажается более трех миллиметров верхней десны.
Некоторые из этих симптомов можно обнаружить самостоятельно. В подобном случае не стоит медлить с обращением к врачу-ортодонту, так как раннее начало лечения, желательно в детском или младшем подростковом возрасте, имеет максимум шансов на успех.
Как проходит коррекция глубокого прикуса элайнерами?
Работа с глубоким прикусом планируется в соответствии с нарушениями, характерными для этого ортодонтического дефекта. Поскольку боковые отделы рядов интрузированы, то есть внедрены, необходимо «вытянуть» расположенные здесь единицы, чтобы увеличить высоту этого участка. Передние же отделы, наоборот, слишком экструзированы (выдвинуты), поэтому их необходимо внедрить. Лечение с применением элайнеров помогает достигнуть обеих целей и добиться нормализации прикуса.
Особенности проведения такой коррекции:
- предварительно выполняется трехмерное моделирование процесса лечения, основанное на данных диагностических исследований;
- изготавливается набор съемных пластинок (кап), количество которых зависит от особенностей патологии и возраста пациента и может составлять от 5-10 до 20-30 штук;
- в процессе лечения пациент самостоятельно периодически меняет отработавшие элайнеры новой парой;
- каждые один-два месяца необходимо посещать ортодонта для отслеживания результатов и, при необходимости, коррекции плана лечения.
При диагностировании глубокого прикуса элайнеры изготавливаются со специальными накладками для улучшения резцового перекрытия.
Если потребуется, коррекция глубокой окклюзии элайнерами может дополняться удалением зубов либо применением дополнительной ортодонтической аппаратуры. В самых тяжелых клинических ситуациях или при сочетании различных видов аномалий может понадобиться хирургическое вмешательство.
Эффективность элайнеров при глубоком прикусе
При соблюдении схемы ношения съемных ортодонтических кап зубы подвергаются постоянному давлению, которое создается определенными участками конструкций. В результате этого происходит медленное перемещение единиц ряда по заданным траекториям. Скорость такого движения составляет в среднем 0,1- 0,3 мм в течение двух недель.
При глубоком прикусе эффективность элайнеров не менее высока, чем брекетов. Сроки и стоимость лечения зависят от индивидуальных особенностей пациента. Коррекция считается завершенной после нормализации высоты прикуса и достижения нормальных межзубных контактов. После основного лечения наступает стабилизирующий этап, в течение которого пациент носит ретейнеры. Эти конструкции помогают «приучить» зубы к новым положениям и закрепить достигнутые результаты.





