• logo
  • +7 (495) 104 83 50

    Единая справочная в Москве

Искандарян Яна Манвеловна

Ортодонт
Стаж 3 года
График работы
Втул. Осташковская, 3009:00 - 21:00
Сбул. Осташковская, 3010:00 - 20:00
О враче
Профессиональная ответственность застрахована

Профессиональные навыки:

 

  • Ортодонтическое лечение с использованием вестибулярных брекет-систем
  • Исправление прикуса на прозрачных элайнерах
  • Лечение детей с применением съемных и несъемных ортодонтических аппаратов
  • Диагностика и лечение дисфункции височно-нижнечелюстного сустава (ВНЧС)
  • Составление комплексных планов лечения с учетом индивидуальных особенностей
  • Ортодонтическая подготовка перед протезированием и имплантацией
  • Функциональная диагностика и 3D-моделирование для точного планирования

Яна Манвеловна — ортодонт, который подходит к каждому случаю комплексно и вдумчиво. Она помогает и взрослым, и детям обрести ровные зубы и здоровый прикус, используя современные методы лечения: от классических брекетов до элайнеров. Особое внимание уделяет диагностике и лечению проблем ВНЧС, а также подготовке зубных рядов к протезированию. В работе применяет 3D-моделирование, что позволяет прогнозировать результат и делать лечение максимально предсказуемым. Пациенты ценят её за внимательность, профессионализм и умение найти подход к каждому.

icon
Стаж 3 года

Курсы повышения квалификации

2025 
Курс «Флексы как прогрессивный метод лечения в современной ортодонтии»
2025 
Консультация «Окклюзия в цифре»
2025 
Семинар «Искусство детализации»
2025 
Консультация «Моделирование элайнеров»
2025 
Консультация «Цифровая функциональная диагностика в ежедневной практике врача-стоматолога»
2024 
Семинар «Уровень 2. Брекеты и элайнеры — рабочие инструменты ортодонта»
2024 
Курс «Элайнеры от А до Я»
2024 
Авторский курс «Железная логика»
2023 
Курс «Ортодонтия 0-14. Рациональный подход»
2023 
Семинар «Уровень 1. Как грамотно начать лечение пациента»

Дипломы и сертификаты

Указан неполный список дипломов и сертификатов об образовании

Примеры работ

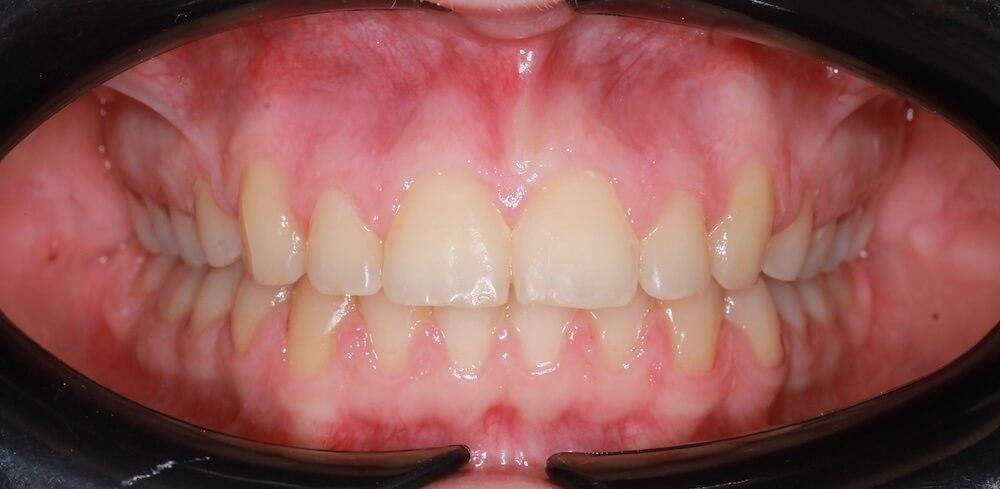
Коррекция дистального прикуса и скученности зубов
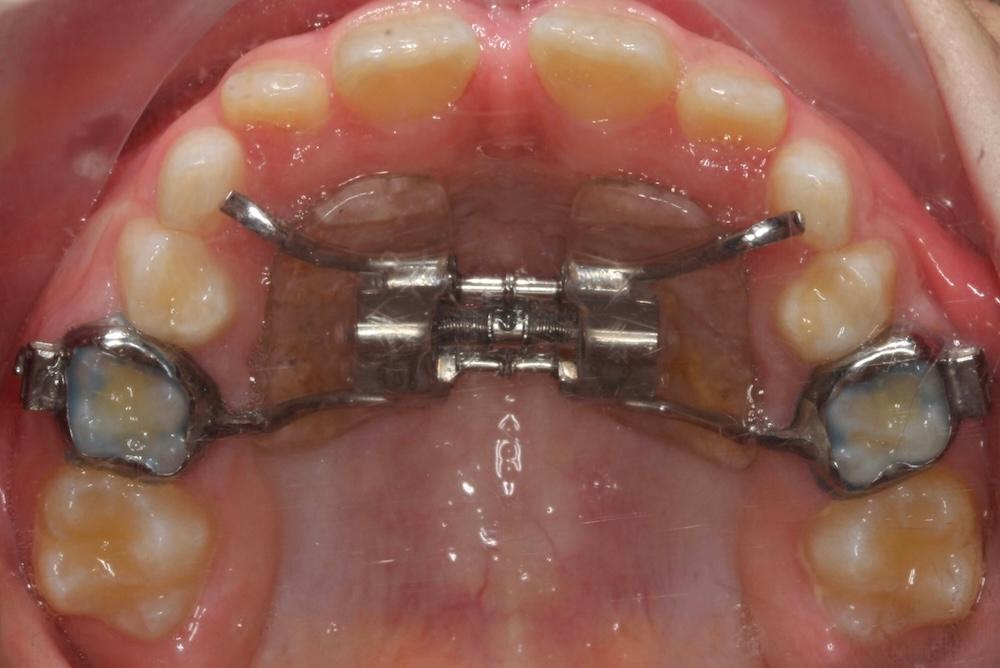
Расширение верхней челюсти у детей
Частичная брекет-система у детей
Коррекция дистального прикуса и скученности зубов на брекет-системе
Коррекция дистального прикуса и скученности зубов на брекет-системе
Бесплатная
консультация
  • 30-40 минут
  • План лечения и стоимость
  • Осмотр и диагностика
background
Работает в клиниках
ул. Осташковская, 30
Для взрослых и детей
Медведково
17 мин
Бабушкинская
32 мин