Единая справочная в Москве

| Пн | Новочерёмушкинская, д. 21к1 | 09:00 - 21:00 |
| Ср | Новочерёмушкинская, д. 21к1 | 09:00 - 21:00 |
| Пт | ул. Таганрогская, 29 | 09:00 - 15:00 |
Профессиональные навыки:
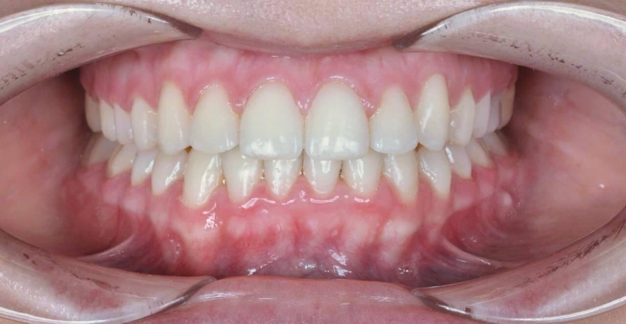
Диана Абдуллаевна — это врач, который постоянно совершенствует свои навыки и следит за последними достижениями в области ортодонтии. Она применяет современные протоколы лечения, что позволяет ей добиваться высоких результатов. Ее профессиональные качества — аккуратность, эмпатичность, исполнительность, ответственность, проактивность, грамотность и тактичность — делают ее не только отличным специалистом, но и врачом, которому доверяют пациенты. Доверьте свою улыбку профессионалу, который сочетает в своей работе современные технологии, индивидуальный подход и заботу о каждом пациенте!
2024 Семинар "Лечение детей. Всё о вертикальных проблемах и 2 классе" | 2024 "50 оттенков дистального". Авторский курс Кулаева Юрия | 2023 Онлайн-школа Star Smile |
2023 Элайнеры от А до Я — Академия EUROKAPPA | 2023 Полная диагностика дисфункций ВНЧС в ортодонтической практике | 2023 3D технологии в современной ортодонтической диагностике |
2023 Клиническое применение несъемных аппаратов | 2023 Техника изгибания дуг | 2023 Брекеты и элайнеры — рабочий инструменты ортодонта |
2022 Диагностика ортодонтического пациента | 2022 Как грамотно начать лечение пациента |