Почему традиционные виниры требуют обточки
Классические виниры, например, из керамики, обладают определённой толщиной. Чтобы готовая конструкция выглядела естественно и не выглядела громоздкой, стоматолог вынужден стачивать тонкий слой эмали. Это необходимо для создания пространства под сам винир. Без такой подготовки зуб может стать выпуклым и будет выделяться в зубном ряду. Кроме того, обточка обеспечивает более прочное сцепление между поверхностью зуба и керамической пластинкой, что гарантирует долговечность реставрации. Однако этот процесс необратим — эмаль уже не восстановится.

В каких случаях можно обойтись без препарирования
Установка виниров без обточки возможна не всегда. Это решение принимает стоматолог после тщательной диагностики. Основное показание — наличие достаточного объёма эмали и относительно ровный зубной ряд. Такие виниры идеально подходят для устранения небольших промежутков между зубами, трещин и сколов эмали, а также для маскировки пятен флюороза или тетрациклиновых зубов, которые не поддаются отбеливанию. Если зубы имеют сильную скученность или значительный разворот, вероятнее всего, потребуется предварительное ортодонтическое лечение или классические виниры с обточкой.
Особенности фиксации виниров
Ключевой фактор надёжной фиксации — использование современных адгезивных материалов, или специальных стоматологических клеев. Эти составы обладают невероятной прочностью и способны создавать монолитную связь между поверхностью зуба и виниром. Перед фиксацией эмаль тщательно обрабатывается. Проводится процедура протравливания — нанесение слабого кислотного геля, который создает микропоры в эмали. Затем наносится адгезив, который проникает в эти поры, и только после этого фиксируется сам винир. Эта технология обеспечивает сцепление, которое при правильном уходе выдерживает годы эксплуатации.

Виды виниров без обточки зубов
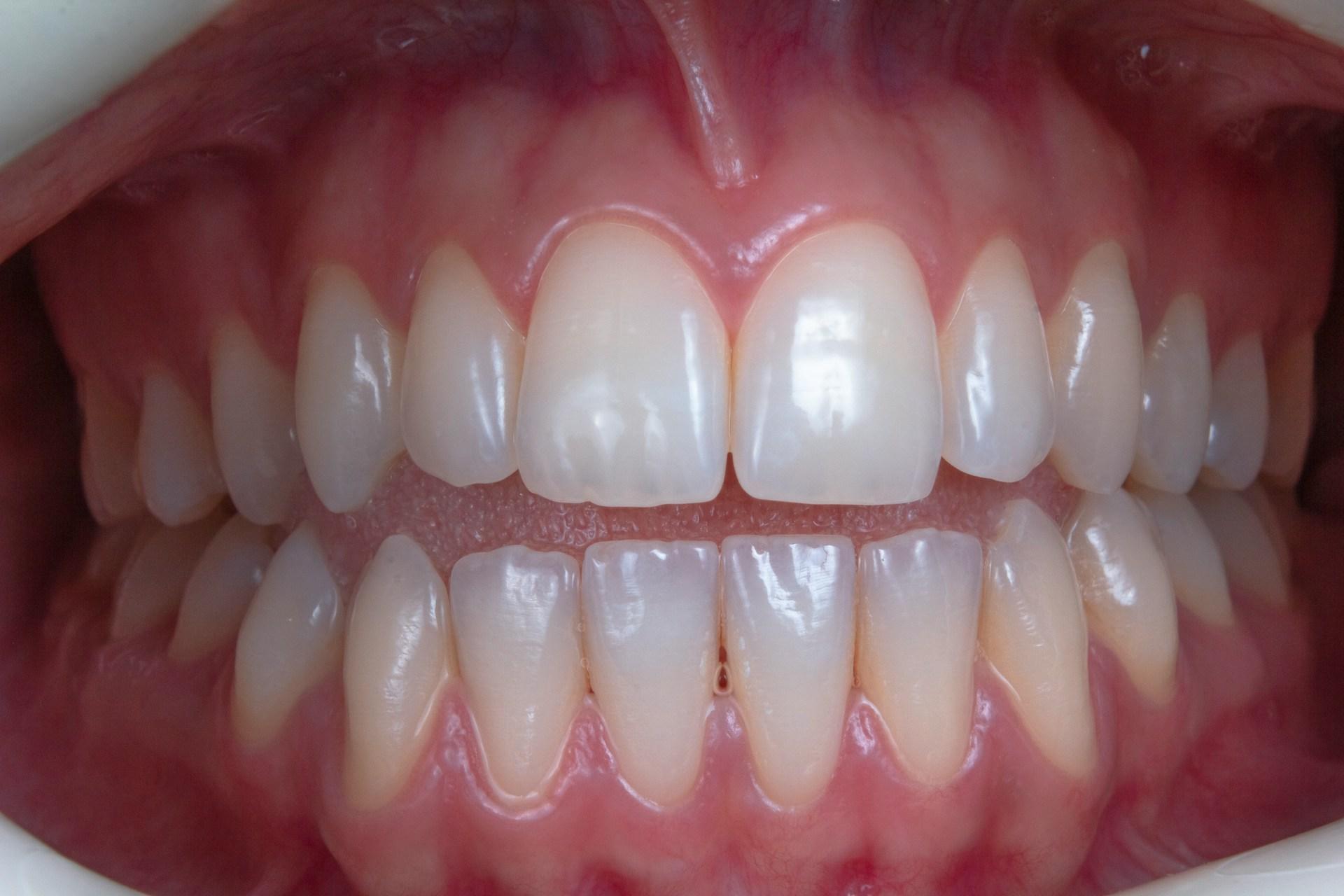
Самый популярный и широко известный тип — люминиры. Это ультратонкие виниры, которые изготавливают в США по уникальной технологии. Их толщина не превышает 0,2-0,3 мм, что сравнимо с контактной линзой. Именно поэтому они практически неощутимы во рту и не требуют стачивания эмали.
Помимо люминиров, существуют и другие аналоги — например, виниры из композитных материалов, которые изготавливаются прямым методом прямо в кресле стоматолога. Однако керамические ультратонкие виниры, как правило, превосходят композитные по долговечности и устойчивости к окрашиванию.
Как ставят виниры без обточки зубов
На первом приёме врач проводит консультацию и диагностику, определяет, подходит ли пациенту данный метод. Слепки или цифровые сканы зубов отправляются в лабораторию для изготовления виниров.
Второй визит целиком посвящён фиксации. Это самый важный этап. Зубы тщательно очищаются, но не обтачиваются. Далее проводится подбор цвета цемента, который может как сохранить естественный оттенок винира, так и немного подкорректировать цвет самого зуба. После обработки эмали (протравливания и нанесения адгезива) виниры поочередно фиксируются на специальный светоотверждаемый цемент. Излишки цемента удаляются, а соединение засвечивается лампой для окончательного затвердевания.
Интересует установка виниров без обточки зубов? Вам поможет «Кариесу.Нет»! Наши опытные специалисты быстро и качественно проведут процедуру. Позвоните нам, чтобы получить консультацию или подобрать удобное время для визита!





