Чем виниры отличаются от коронок
Главное различие кроется в степени покрытия зуба. Виниры представляют собой тонкие накладки, которые крепятся только на переднюю поверхность зуба. При установке виниров стоматолог слегка обтачивает зуб, убирая тонкий слой эмали — обычно не более 0,5 миллиметра. Это позволяет сохранить большую часть живой ткани. Виниры идеально подходят для изменения цвета, формы или размера зубов, которые в целом здоровы, но имеют косметические дефекты: потемнения, сколы, трещины или некрасивые промежутки между ними.
Коронка, в свою очередь, «надевается» на зуб целиком, покрывая его со всех сторон. Для её установки зуб полностью обтачивается, превращаясь в культю. Коронки используют, когда зуб сильно разрушен — например, после обширного кариеса, травмы, удаления нерва. Коронка не просто улучшает внешний вид — она в первую очередь защищает хрупкий зуб от дальнейшего разрушения, принимая на себя жевательную нагрузку.

Что выбрать – виниры или коронки
Это зависит от исходного состояния зуба.
Виниры нужно использовать в ситуациях, когда зуб здоров, но недостаточно эстетично выглядит. Классические показания к установке виниров — это так называемые «тетрациклиновые» зубы, которые невозможно отбелить изнутри, флюороз (пятна на эмали), клиновидные дефекты, сколы режущего края или просто желание сделать улыбку «голливудской». Виниры — это реставрация, а не протезирование в полном смысле слова.
Коронки необходимы, когда зуб серьёзно пострадал. Если разрушено более половины зуба, после лечения каналов его стенки стали тонкими и хрупкими, стоит старая большая пломба, которая вот-вот выпадет, или зуб был сломан под корень, то альтернативы коронке нет. Она перераспределяет жевательное давление и позволяет зубу прослужить ещё много лет.

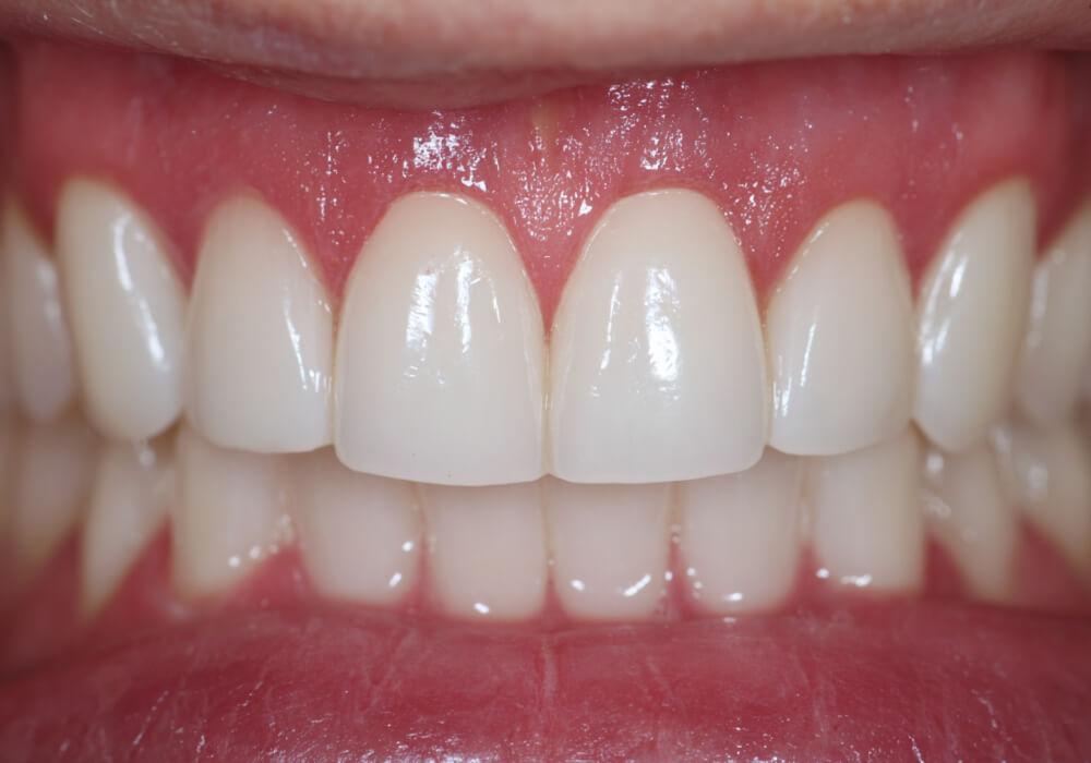
Что лучше поставить на передние зубы: виниры или коронки
Для фронтальной группы зубов чаще всего выбирают виниры, поскольку они сохраняют большую часть родной эмали.
Однако если передний зуб мёртв (депульпирован) или на нём стоит большая пломба, которая занимает большую часть поверхности, лучше всё же установить коронку. В случае с передними зубами обычно используют безметалловые коронки из диоксида циркония или прессованной керамики. По своим светопропускающим свойствам они практически не уступают винирам и выглядят очень эстетично, но при этом обеспечивают надёжную защиту ослабленного зуба.
Окончательное решение, что выбрать — виниры или коронки — всегда принимается совместно с врачом после осмотра и диагностики. Главное — помнить, что важно не только сделать улыбку красивой, но и сохранить зубы здоровыми и функциональными на долгие годы.
Беспокоит здоровье зубов? Вам в «Кариесу. Нет»! Наши специалисты помогут решить любые стоматологические проблемы. Свяжитесь с нами прямо сейчас, чтобы получить консультацию или записаться на приём!





